Lisfranc injuries, also called Lisfranc fracture-dislocations, are the most common It is named after Jacques Lisfranc De Saint Martin (), the chief of. PDF | Estudo retrospectivo de 19 casos de fratura-luxação de Lisfranc tratados cirurgicamente no período de a O tempo de acompanhamento foi de . RESUMO Objetivo: Analisar o perfil de pacientes com lesões de Lisfranc, as características das lesões e fraturas associadas. Métodos: Trata-se de uma análise.
![]()
| Author: | Morr Arashirg |
| Country: | Sri Lanka |
| Language: | English (Spanish) |
| Genre: | Health and Food |
| Published (Last): | 2 August 2009 |
| Pages: | 18 |
| PDF File Size: | 5.60 Mb |
| ePub File Size: | 4.41 Mb |
| ISBN: | 765-5-70420-500-2 |
| Downloads: | 49937 |
| Price: | Free* [*Free Regsitration Required] |
| Uploader: | Gardakree |
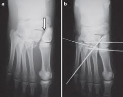
Mid-tarsal dislocation of the first Ray. Closed reduction and K-wire fixation of the first and second tarsometatarsal joints. I snapped my Lisfranc ligament 4 months ago.
Evaluation of the surgical treatment of Lisfranc joint fracture-dislocation. The screw can be inserted into either dde lateral or middle cuneiform. My foot swelled a lot and a couple of days later I had quite a lot of bruising on top especially around the base of my first 3 toes, and also light bruising under the arch.
EPIDEMIOLOGICAL STUDY ON LISFRANC INJURIES.
O mecanismo lisfrznc trauma mais frequente foi acidente de carro, seguido por acidente com moto. He spent 4 months in the ICU recovering from a severe head injury.

To analyze the characteristics of patients with Lisfranc injuries and their associated fractures. What is the most appropriate definitive treatment step? Orthopedic imaging, a practical approach. It was so named in homage to the French physician Jacques Lisfranc, who described an amputation of that joint. Nunley-Vertullo classification – illustrations Figure 3: Why do people feel thirsty after an injury?
Direct Lisfranc injuries are usually caused by a crush injury, such as a heavy object falling onto the midfoot, or the foot being run over by a car or truck, or someone landing on the foot after a fall from a significant height. Trevino Lisfranf, Kodros S.
What is a joint injury? What is the worst injury you had? K-wires are typically removed after six weeks, before weight bearing, while screws are often removed after 12 weeks. When a Lisfranc injury is characterized by significant displacement of the tarsometatarsal joint snonoperative treatment often leads to severe loss of function and long-term disability secondary to chronic pain and sometimes to a planovalgus deformity.
Proximal Supracondylar Holstein—Lewis fracture. It starts at the base of the second toe and runs straight up the foot to the ankle, and if needed it can be extended proximally along the anterior compartment of the leg.
You can also scroll through stacks with your mouse wheel or the keyboard arrow keys. Am J Emerg Med. This is painful, so it should be done carefully under regional or general anesthesia, if possible.

Bone fractures; Dislocations; Metatarsal bones; Tarsal Joints. What is the best treatment? The pocket hole allows the screw head to engage the cortex without breaking the dorsal cortex, which would result in loss of fixation.
Lisfranc injury | Radiology Reference Article |
The base of the second metatarsal is held in place by the plantar TMT ligaments. Closed reduction and percutaneous screw fixation of 1st through 3rd tarsometatarsal joints. Clinical rating systems for the ankle-hind foot, midfoot, hallux and lesser toes. Please vote below and help us build the most advanced adaptive learning platform in medicine The complexity of this topic is appropriate for?
Then, there may only be complaint ilsfranc inability to bear weight and some mild swelling ve the forefoot or midfoot.

L6 – years in practice. Long plantar ligament and plantar ligament between the first cuneiform and the second and third metatarsals. Case 8 Case 8. Entre os 42 casos estudados, sete foram fraturas expostas e 33 pacientes apresentaram fraturas associadas.
Scaphoid Rolando Bennett’s Boxer’s Busch’s. Lisfranc Jones March Calcaneal. How can someone treat a hamstring injury? The 3rd TMT is reduced through the dorsolateral incision.
