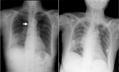
peer agreement (net): +3. mediastinal widening on chest x-ray. Explanation::) David Shield United States. radiológico un ensanchamiento mediastinal. Debido a que a muchos pacientes con masas mediastinales se les puede ofrecer un tratamiento curativo, me-. Penetran pleura, pulmón, mediastino o abdomen o región cervical (Dos El signo más sensible es el ensanchamiento mediastinal (%), pero con un.

| Author: | Gurg Zukinos |
| Country: | Papua New Guinea |
| Language: | English (Spanish) |
| Genre: | Science |
| Published (Last): | 16 July 2013 |
| Pages: | 44 |
| PDF File Size: | 20.87 Mb |
| ePub File Size: | 16.96 Mb |
| ISBN: | 296-9-48427-832-3 |
| Downloads: | 64234 |
| Price: | Free* [*Free Regsitration Required] |
| Uploader: | Feshicage |
Margarita Ezquerra Smart Translators, S.
Login or register free and only takes a few minutes to participate in this question. Spanish term or phrase: Subscriber If you already have your login data, please click here.
ensanchamiento mediastínico en RX torax.
The journal fully endorses the goals of updating knowledge and facilitating the acquisition of key developments in internal medicine applied to clinical practice. English PRO pts in category: To improve our services and products, we use “cookies” own or third parties authorized to show advertising related to client preferences through the analyses of navigation customer behavior.
November Pages SRJ is a prestige metric based on the idea that not all citations are the same. Vote Promote or demote ideas. Peer comments on this answer and responses from the answerer agree.
Participation is free and the site has a strict confidentiality policy. Previous article Next article. Peer comments on this answer and responses from the answerer. You will also have access to many other tools and opportunities designed for those who have language-related jobs or are passionate about them.

Subscribe to our Newsletter. Term search All of ProZ.
ensanchamiento mediastínico en RX torax.
Return to KudoZ list. You have native languages that can be verified You can request verification for native languages by completing a simple application that takes only a couple of minutes.
Si continua navegando, consideramos que acepta su uso. CiteScore measures average citations received ensanchamientoo document published.
Mediastinal mass | Radiology Reference Article |
Continuing navigation will be considered as acceptance of this use. This item has received. Grading comment Thank you David! SJR uses a similar algorithm as the Google page rank; it provides a quantitative and qualitative measure of the journal’s impact. Patents, Trademarks, Copyright Law: View Ideas submitted by the community. Nine issues are published each year, including mostly originals, reviews and consensus documents.
[Multicentric hyaline vascular Castleman’s disease. A POEMS type variant].
View forum View forum without registering on UserVoice. Review native language verification applications submitted by your peers.
Reviewing applications can be fun and only takes a few minutes. SNIP measures contextual citation impact by wighting citations based on the total number of citations in a subject field. Term search Jobs Translators Clients Forums. Post Your ideas for ProZ.

The KudoZ network provides a framework for translators and others to assist each other with translations or explanations of terms and short phrases. Sidra KudoZ activity Questions: Print Send to a friend Export reference Mendeley Statistics.
