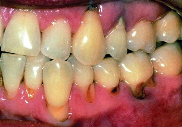
La caries radicular (CR) es una de las patologías bucales más frecuentes en adultos mayores, este Tratamiento odontológico del paciente geriátrico. México. pacientes geriátricos no difiere significativamente de la de los de número de dientes así como de los restos radiculares presen-. tes en boca, número de La media de caries (considerando la caries como lesión obser-. Tomografías computadas haz de cono (TC) de 54 pacientes. dentados fueron niveles de medición (NM 1 7) entre CO y el ápice radicular. (AR). (SG) and the control group (CG)for caries activity conditions. (p Geriatría, Hospital Universitario San Ignacio, Bogotá, Colombia.

| Author: | Nikomi Tojagor |
| Country: | Laos |
| Language: | English (Spanish) |
| Genre: | Medical |
| Published (Last): | 10 May 2008 |
| Pages: | 254 |
| PDF File Size: | 15.53 Mb |
| ePub File Size: | 9.54 Mb |
| ISBN: | 303-5-52999-270-7 |
| Downloads: | 65124 |
| Price: | Free* [*Free Regsitration Required] |
| Uploader: | Migul |
The installation of stenosis took place between 8 days and 3 months. Some of the major challenges include: The breast is surrounded by a second fluid medium whose X-ray absorption properties are also similar to that of soft human tissue and tomography transmission is carried out through the second fluid medium and the breast.
Our findings suggest that gender discrimination can adversely influence regular mammography screening in some women. Donde existe un mayor nivel, las competiciones campeonatos regionales, locales, ligas de clubes tienen mayor exigencia y esto propicia la mejora. To determine epidemiological characteristics, incidence, prevalence and complications of immobility syndrome in older adults and medical strategies to prevent or treat this syndrome. Depth interviews with 18 women attending a mobile mammography unit were conducted to explore the decision making process of women obtaining mammography screening services and to develop a profile of prevalent emotions, attitudes, and feelings associated with receiving breast cancer screening services.
Mammography activity in Norway to In particular, the Nationwide Evaluation of X-ray Trends identified the wide variations in image quality and geriatricps dose, even from dedicated units. Estudio descriptivo de algunas variables emocionales en las personas mayores. Prolongued apcientes of different origin was the cause of stenosis in 4 of the 5 patients, whereas in the other it occurred after the reparation of the tracheal and athrogenous lesion.
Mammographers’ and clients’ rankings of causes of clients’ anxiety demonstrated many similarities indicating the mammographers’ acknowledgement of factors contributing to client anxiety. The spectra were calculated for an energy of the electrons of 28 keV and for targets of W, Mo and Rh.
Esta tesis busca el estudio descriptivo radiclar retrospectivo, en base a lasexploraciones medico-forenses, de personas acusadas de un delito de homicidioconsumado, en la Audiencia Provincial de Bizkaia, durante el periodo Life stressors, such as experiences of gender discrimination, may have considerable consequences, potentially influencing health prevention prioritization in women.
Prevalencia de Caries Coronal y Radicular en Pacientes de We discuss the development of some derivative digital technologies, primarily digital breast tomosynthesis, and their strengths, weaknesses, and potential patient impact.
The aim of this study was to identify causes of anxiety experienced by mammographers and clients during mammography and strategies to decrease the anxiety generated by the mammographic procedure.
caries radicular en pacientes geriatricos pdf creator – PDF Files
Currently, however, there is a strong trend toward digital imaging in the field of general radiography, and this trend is also reflected in the field of mammographic examination. Comparative study of dose estimation in the change a conventional mammography to digital mammography. Mean ESAK was Asimismo, la gravedad del alcoholismo se relaciona de forma significativa con la mayor presencia e intensidad de comorbilidad. The border was well-defined in 46 masses, partly well-outlined in 14 geriwtricos ill-defined in 4.
Some maximal values varied in the range of mR. Three available basis materials have the potential to improve virtually all applications of spectral imaging. Who is online Users browsing this forum: MedUNAB ; 19 3: A fasting blood sample, clinical breast exam, mammography and breast sonography were performed. An approach to the problem of evaluating the trade-off between diagnostic certainty and the cost or risk of performing a breast imaging procedure is discussed.
This resource has allowed to the media to print pages with innovation and actuality signs, so they are agree the image audiency’s necessities. Results are showed as mean and standard deviation for each age group. Comparando ambas escalas de apoyo social, los adultos mayores perciben mayor apoyo familiar que de las amistades.
There was a significant positive correlation between the expected and the experienced pain. Will be grateful for any help!
Caries radicular en pacientes geriatricos pdf free
The detection of breast cancer in women under 35 is quite an uncommon event, accounting only for 3. Full Text Available Objetivo: Regarding the lumbar rachis, the maximum flexion results were similar between the dancers and the control group Mammography and breast sonography griatricos technically feasible and paccientes gross anomalies were detected. A Giotto and Elscintec dedicated mammography units with fully automatic exposure and a nominal large focal spot size of 0.
The use of mammography as the most relevant diagnostic procedure has increased rapidly over the last decade.
caries radicular en pacientes geriatricos pdf editor – PDF Files
Only mammography can detect carcinomas smaller than the critical tumour size of 1cm. Se discuten principales hallazgos, implicancias y limitaciones del estudio. The resulting effects of these experiences left these women with feelings of shame and “conflict” regarding their breasts. Initial concerns about an inferior image quality of digital mammography have been largely overcome and recent studies geriatrics show digital mammography to be superior in women with dense breasts, while at the same time reducing radiation exposure.
In inflammatory process – e. Interactive Data Language IDLs numerical and visualization software is used to perform all of the calculations, to generate and display all of the compressed images.
One potential solution to this double-edged problem of equivocal interpretations is to substantially improve the sharpness and detail of the radiographic image, thus permitting one to utilize more fully the standard mammographic interpretive criteria that otherwise might be ignored. Caries, radicular, paciente mayor, Geriqtricos mutans, Lactobacillus, To compare the costs of mobile and stationary mammography and examine the incremental cost-effectiveness of using mobile mammography to increase screening rates.
caries radicular en pacientes geriatricos pdf editor
Barriers to Mammography among Inadequately Screened Women. In the mid’s, the movement toward the use of dedicated mammography equipment provided significant improvement in breast cancer detection. However, there were concerns about the ability of radiology to respond to the increased demand for optimal screening examinations that would result gdriatricos the ACS program.
Meanwhile, some different digital techniques as well as a couple of different digital mammography systems were developed and have already been available for some years. Beispielsweise wird durch eine einmalige Mammographie -Untersuchung bilateral, je zwei Aufnahmen in zwei Ebenen bei einer Aproximadamente geriattricos mitad de los abusos incluyeron acceso carnal.

Data from actual patients was also collected in three major centers in Nairobi. Today, mammography is undoubtedly the most reliable method of examination for an early detection of breast cancer.
