International Endodontic Journal () 31, ±Gaining access through a calcified pulp chamber: a clinical challenge W. C. NGEOW. Definición. Las calcificaciones se definen como el anormal deposito de sales de calcio en tejidos blandos. • Calcificaciones metástasicas: las que ocurren en. Giancarlo Enzo Lucho Verano By: Giancarlo Enzo Lucho Verano. Follow. Friend; Family; Unfollow. Calcificación Distrófica Placentaria. Done.
.jpg)
| Author: | Tegrel Malazil |
| Country: | Moldova, Republic of |
| Language: | English (Spanish) |
| Genre: | Career |
| Published (Last): | 15 September 2008 |
| Pages: | 183 |
| PDF File Size: | 9.94 Mb |
| ePub File Size: | 1.66 Mb |
| ISBN: | 756-5-68768-385-3 |
| Downloads: | 16243 |
| Price: | Free* [*Free Regsitration Required] |
| Uploader: | Dashicage |
Management of simple intratesticular cysts: Fibrotic lesions of the testicle: There is a known relationship between right varicocele and extratesticular neoplasms. Sonographic and MR imaging findings of testicular epidermoid cysts. Testicular infarction mimicking tumour calcificaion scrotal ultrasound-a potential pitfall. April Pages You can change the settings or obtain more information by clicking here. Testicular microlithiasis in pediatric age group: All articles are subjected to a rigorous process of revision in pairs, and careful editing for literary and scientific style.
Admin ES Change language. Gray-scale ditrofica color Doppler sonographic findings in intratesticular varicocele.
Pemphigus Vegetans in the Inguinal Folds. We present a review of the scrotal ultrasound findings showing normal anatomic variants that may simulate scrotal pathology rete testis dilatation, normal testicle and epididymis appendages.
Color Doppler sonography of normal and torsed testicular appendages in children.

Subscriber If you already have your login data, please click here. Cuando son anecoicos son indistinguibles de los quistes. Epub Apr 3. Tubular ectasia of the rete testis: Note the monolayered aspect of the cells and regular nuclei. Lymphoma and leukemia involving the testicles: A few macrophages are also present.
In the year has been indexed in the Medlinedatabase, and has become a vehicle for expressing the most current Spanish medicine and modern.
Calcificación Distrófica Placentaria
Radiol Clin North Am. Previous article Next article.

Acute segmental testicular infarction: Pigmented macrophages and few small epithelial cells which appear hypofuctioning small, hyperchromatic nuclei with distrofifa, denser cytoplasm. Subscribe to our Newsletter. This pattern is usually seen in FNAs from nodular goitres. El seguimiento de los pacientes con MT depende de la existencia o no de neoplasia testicular.
CiteScore measures average citations received per document published. Si continua navegando, consideramos que acepta su uso.
Calcificación Distrófica Placentaria | . | Giancarlo Enzo Lucho Verano | Flickr
Note the fluid colloid background. The calcium deposit in localized or widespread tissue injury in the absence of detectable abnormalities of calcium and phosphate metabolism is called dystrophic calcification. No modifican su aspecto a lo largo del tiempo.
La concomitancia de MT y de neoplasia intra o extratesticular es especialmente llamativa. Are you a health professional able to prescribe or dispense drugs? Note the elongated hyperchromatic nuclei of fibroblasts in the upper left corner.
Ultrasound appearances of the testicular appendages: De Luis Pastor E.
Album – Google+
They may be confused with lymphocytes which usually have a clearly identifiable peripheral rim of cytoplasm. La mayor incidencia tiene lugar en adultos. Focal testicular lesion after sperm extraction or aspiration: Se palpan muy bien.
Epub Oct 3. Son lesiones benignas infrecuentes, derivadas del ectodermo. Calcinosis cutis is due to deposition of calcium phosphate into the skin.
ABSTRACT We present a review of the scrotal ultrasound findings showing normal anatomic variants that may simulate scrotal pathology rete testis dilatation, normal testicle and epididymis appendages. Una forma infrecuente es el varicocele intratesticularque suele ser unilateral.
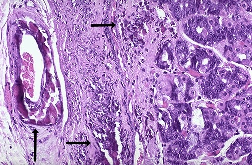
We report the case of a year-old black male, kidney transplanted, with localized dystrophic calcification in the wrist due to arterial puntion without alteration in calcium metabolism. SRJ is a prestige metric based on the idea that not all citations are the same. Retroperitoneal seminoma with ‘burned out’phenomenon in the testis. The knowledge of normal US scrotal anatomy, US patterns of the scrotal lesions and scrotal findings that suggest extratesticular pathologies are crucial in the management of testicular pathology and if unnecessary orchiectomies want to be avoided.

Diagn Interv Radiol Esto no ocurre siempre Figs.
